LEDのスペクトルと演色性及び照度について
これから少しずつ使用しているLEDのスペクトルと演色性及び照度について説明します。
まず基本のハロゲンランプのスペクトルと演色性です。

100WハロゲンBHSでMAX127400Lux
ブルーフィルターを入れると 24200Lux
Photoの位置で 48400Lux
ブルーフィルターを入れると 7400Lux
演色性はRa99と素晴らしいです
LEDは先ずシャープ銭形6W5000Kと2700Kのスペクトルと演色性です。


6W5000K 演色性Ra85 照度25300Lux


6W2700K 演色性Ra84 照度19800Lux
特殊演色評価数R9が低いことがわかります。


10W6500K 演色性Ra84 照度40100Lux
特殊演色評価数R9が低いことがわかります。
次はUniPo製の5W、9Wです。
シャープ銭形10W6500Kは今後UniPo製の9W5600K演色性Ra98となります。
5W、9Wどちらも5600Kです。
演色性Ra95タイプです。


5W5600K 演色性Ra96 照度25800Lux


9W5600K 演色性Ra95 照度54000Lux
5W、9W共に特殊演色評価数R12がやや低いことがわかりますが、かなり高演色性です。
演色性Ra95タイプは演色性Ra98タイプに統一します。
次は演色性Ra98タイプです。


5W5600K 演色性98 照度23100Lux
特殊演色評価数も非常に素晴らしくLEDとしては優れたものです。
フルスペクトルとなります。
照度を変更しても演色性は変わりません。
このタイプのLEDは価格が少し高くなります。
5Wと9Wがあります。色温度は5600Kです。
CREE XML10W昼光色


10W 10000K 演色性76 照度126800Lux
色温度が高く明るいです。
特殊演色評価数R9、R10、R12が低いですが照度は非常に明るいです。
このLEDは、電圧が低く電流値が高いので装置の価格が高めです。
CREE XML10W電球色


10W 2700K 演色性89 照度68000Lux
特殊演色評価数R9、R12が低いことがわかります。
3W6500Kのスペクトルと演色性です。


3W6500K 演色性Ra78 照度15200Lux
特殊演色評価数R9はほとんどありません。
少し青みがありますが使い易いLEDです。
高演色Ra 92 5500K 3WLEDです。


高演色Ra 91 4500K 10WLEDです。


6Wで使用予定です。
他のLEDも順次測定してアップします。
照度測定はBHSの透過照明開口部で照度計を直接当てて測定しました。

照度をまとめてみました。
100Wハロゲン 2400K 演色性Ra99 照度127400Lux
ブルーフィルターを入れると 24200Lux
Photoの位置で 48400Lux
Photoの位置でブルーフィルターを入れると 7400Lux
シャープ銭形 6W 5000K 演色性Ra85 照度 25300Lux
シャープ銭形 6W 2700K 演色性Ra84 照度 19800Lux
シャープ銭形10W 6500K 演色性Ra84 照度 40100Lux
UniPo 5W 5600K 演色性Ra96 照度 25800Lux
UniPo 9W 5600K 演色性Ra95 照度 54000Lux
UniPo 新5W 5600K 演色性Ra98 照度 23100Lux
CREE 10W 10000K 演色性Ra76 照度126800Lux
CREE 10W 2700K 演色性Ra89 照度 68000Lux
OptoSupply 3W 6500K 演色性Ra78 照度 15200Lux
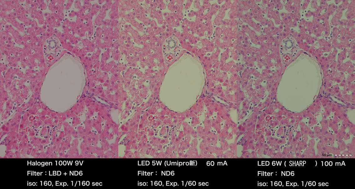
ハロゲン、演色度98新5WLED、従来型シャープ6Wを標本で比較したものです。
琉球大学、泉水様より提供していただきました。

ご予約、問い合わせ
ご面倒ですがアドレスの@後の”xxx”をカットしてください又、件名がinputとなっていますが訂正ください。
戻る
ホームへ
このサイトはリンクフリーです。
内容や写真、図表の無断使用はご遠慮ください。